Санпросвет работа
Материал опубликован:
Обновлён:
Клиновидный дефект — это некариозное поражение зуба в виде V-образного углубления у его шейки. Чаще всего такой дефект возникает на клыках и премолярах, но может затрагивать любые зубы.
Лечение клиновидного дефекта зубов зависит от степени повреждения и включает несколько методов восстановления зуба.
Общая терапия предусматривает назначение витаминов и микроэлементов для укрепления структуры зубов. Также рекомендуется скорректировать рацион, исключить продукты, повышающие кислотность ротовой полости.
Местные методы лечения зависят от стадии повреждения зубов:
- Начальная стадия (повреждение эмали до 0,2 мм). Проводят реминерализацию эмали, назначают фторирование и аппликации укрепляющих препаратов. Важно правильно подобрать средства гигиены: зубная щётка должна быть мягкой, а паста — с минимальной абразивностью.
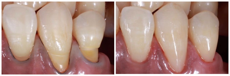
- Средняя стадия (повреждение дентина). Проводят пломбирование, для реставрации применяют светоотверждаемые композитные материалы. Чтобы улучшить внешний вид зубов и предотвратить рецидив, используют виниры или люминиры.
- Глубокая стадия (повреждение более 0,4 мм). Если есть риск отлома коронковой части зуба, устанавливают коронки из металлокерамики, керамики или циркония. Если зуб подвижен или нежизнеспособен, удаляют его, а затем проводят протезирование (имплантация, мостовидный протез).
Поскольку причиной клиновидного дефекта часто является нарушение прикуса, необходима консультация ортодонта.
Для предотвращения рецидивов необходимо устранить провоцирующие факторы: своевременно лечить эндокринные и желудочно-кишечные заболевания, контролировать уровень стресса, соблюдать рекомендации по питанию и гигиене.
Важно своевременно обратиться к стоматологу. Чем раньше будет проведена диагностика и начато лечение, тем легче и быстрее можно восстановить зубы и предотвратить дальнейшие разрушения эмали.
Врач стоматолог - Абузярова Амина Рифатевна
